Hình ảnh bệnh viêm nướu chi tiết giúp nhận biết sớm

18-07-2025
Chia sẻ

Hình ảnh bệnh viêm nướu phản ánh rõ mức độ tổn thương và dấu hiệu viêm ở nướu răng. Nhờ vào việc quan sát trực quan, bạn có thể sớm nhận ra các biểu hiện bất thường, từ đó chủ động chăm sóc răng miệng và phòng ngừa các biến chứng nặng hơn.

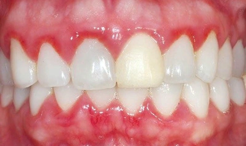
Viêm nướu là như thế nào mà khiến hoảng hốt

Viêm nướu là như thế nào mà khiến nhiều người phải giật mình nhìn lại chế độ vệ sinh răng miệng của mình? Đó là khi nướu không còn hồng hào mà chuyển sang đỏ rực, tấy lên và đau nhức. Mỗi lần đánh răng hay ăn uống đều như một “cực hình”. Đừng tưởng đây là chuyện nhỏ, vì nếu không điều trị sớm, viêm nướu có thể dẫn tới mất răng vĩnh viễn. Nghe tưởng như đùa, nhưng đó là thực tế từ hàng loạt trường hợp đã được ghi nhận!

Viêm nướu là như thế nào mà khiến hoảng hốt
Viêm nướu là như thế nào mà khiến hoảng hốt

Tìm hiểu thêm: Tổng hợp hình ảnh bệnh mụn trứng cá từ nhẹ đến nặng

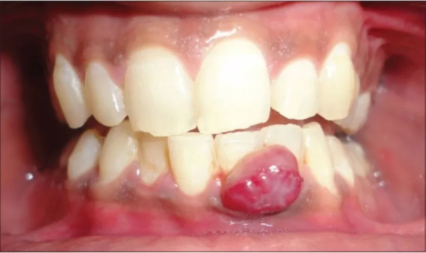
Tổng hợp ảnh bệnh viêm nướu chân thực nhất

Tổng hợp ảnh bệnh viêm nướu không dành cho người yếu tim! Đây là loạt hình ảnh được chụp thực tế từ bệnh nhân ở nhiều cấp độ: từ nhẹ đến nặng, từ sưng đỏ đơn thuần đến mưng mủ, rỉ máu và tiêu xương hàm. Nhìn những bức ảnh ấy, bạn sẽ thấy rõ viêm nướu không chỉ gây khó chịu mà còn biến đổi cả diện mạo khoang miệng một cách kinh hoàng. Một lần nhìn đủ để khiến bạn cầm bàn chải lên ngay lập tức!

 Khó chịu kéo dài ở người bị viêm nướu
Khó chịu kéo dài ở người bị viêm nướu
Cẩn trọng với dấu hiệu viêm nướu sớm
Cẩn trọng với dấu hiệu viêm nướu sớm
Xem ảnh thật về viêm nướu răng phổ biến
Xem ảnh thật về viêm nướu răng phổ biến
Nhận biết bệnh qua hình ảnh sưng nướu răng
Nhận biết bệnh qua hình ảnh sưng nướu răng
Tổng hợp rõ nét hình ảnh viêm lợi răng
Tổng hợp rõ nét hình ảnh viêm lợi răng
Tình trạng nặng nhẹ qua hình ảnh viêm nướu răng
Tình trạng nặng nhẹ qua hình ảnh viêm nướu răng
Bố mẹ nên xem hình ảnh viêm nướu răng ở trẻ
Bố mẹ nên xem hình ảnh viêm nướu răng ở trẻ
Cách xử lý khi bé bị viêm nướu hiệu quả
Cách xử lý khi bé bị viêm nướu hiệu quả
Nhận diện sớm qua ảnh bệnh viêm nướu thực tế
Nhận diện sớm qua ảnh bệnh viêm nướu thực tế
Cảnh báo từ các hình ảnh bệnh viêm nướu
Cảnh báo từ các hình ảnh bệnh viêm nướu
Phân biệt rõ bệnh qua hình ảnh viêm nướu
Phân biệt rõ bệnh qua hình ảnh viêm nướu
Trực quan sinh động qua ảnh người bị viêm nướu
Trực quan sinh động qua ảnh người bị viêm nướu
Tình trạng rõ ràng qua hình ảnh người bị viêm nướu
Tình trạng rõ ràng qua hình ảnh người bị viêm nướu
Hình ảnh rõ nét trẻ em bị sưng nướu răng
Hình ảnh rõ nét trẻ em bị sưng nướu răng
Phổ biến nhất là viêm nướu ở trẻ nhỏ
Phổ biến nhất là viêm nướu ở trẻ nhỏ
Cha mẹ cần chú ý viêm nướu ở trẻ em
Cha mẹ cần chú ý viêm nướu ở trẻ em
Nhận biết sớm viêm nướu răng ở trẻ em
Nhận biết sớm viêm nướu răng ở trẻ em
Đừng bỏ qua viêm nướu răng ở trẻ nhỏ
Đừng bỏ qua viêm nướu răng ở trẻ nhỏ
Dấu hiệu điển hình của viêm nướu lợi
Dấu hiệu điển hình của viêm nướu lợi
Tình trạng phổ biến viêm nướu răng ở người lớn
Tình trạng phổ biến viêm nướu răng ở người lớn
Tìm hiểu kỹ nguyên nhân viêm nướu răng
Tìm hiểu kỹ nguyên nhân viêm nướu răng
Cảnh báo sớm triệu chứng viêm nướu răng
Cảnh báo sớm triệu chứng viêm nướu răng
Đừng chủ quan trước ảnh nướu răng bị viêm
Đừng chủ quan trước ảnh nướu răng bị viêm
Xem chi tiết nướu răng bị sưng đỏ
Xem chi tiết nướu răng bị sưng đỏ
Tình trạng nặng của viêm nướu răng cấp tính
Tình trạng nặng của viêm nướu răng cấp tính

Tìm hiểu thêm: Nhận biết bệnh qua hình ảnh bệnh sâu răng thực tế

Việc theo dõi các hình ảnh bệnh viêm nướu giúp bạn nhận biết rõ từng giai đoạn của bệnh và mức độ nghiêm trọng. Chủ động thăm khám nha khoa khi có dấu hiệu bất thường là cách tốt nhất để giữ gìn nướu khỏe, răng chắc và ngăn ngừa các biến chứng nguy hiểm.