Hình ảnh bệnh nấm da phổ biến và cách nhận biết sớm

10-07-2025
Chia sẻ

Hình ảnh bệnh nấm da giúp người bệnh dễ dàng nhận biết các dấu hiệu ban đầu trên da. Việc quan sát đúng biểu hiện qua hình ảnh có thể hỗ trợ chẩn đoán nhanh chóng và điều trị kịp thời, tránh biến chứng và lây lan trên diện rộng.

Hình ảnh bệnh nấm da là như thế nào

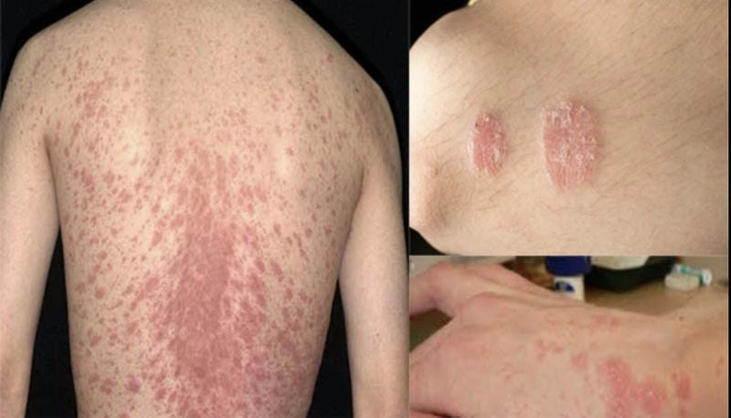
Bạn có dám nhìn kỹ? Những hình ảnh bệnh nấm da dưới đây sẽ khiến bạn nổi da gà vì mức độ kinh hoàng mà nó gây ra trên làn da con người. Từ những vết bong tróc li ti đến những mảng đỏ loét lan rộng, loại bệnh này không chỉ mất thẩm mỹ mà còn dễ lây lan nếu không điều trị kịp thời. Nếu bạn từng nghe đến “nấm da”, hãy nhìn tận mắt để biết nấm da là như thế nào và lý do vì sao nó khiến hàng triệu người ám ảnh.

Hình ảnh bệnh nấm da là như thế nào
Hình ảnh bệnh nấm da là như thế nào

Xem thêm: Tổng hợp hình ảnh bệnh sùi mào gà dễ nhận biết nhất

Tổng hợp ảnh bệnh nấm da thực tế

Rùng mình không dám nhìn lần hai – loạt tổng hợp ảnh bệnh nấm da dưới đây được ghi nhận tại nhiều cơ sở y tế lớn trên toàn quốc. Mỗi bức ảnh là một minh chứng chân thực về mức độ nguy hiểm của bệnh lý tưởng chừng đơn giản này. Từ nấm da đầu, nấm kẽ chân đến nấm toàn thân, mỗi trường hợp đều có biểu hiện khác nhau, nhưng điểm chung là cực kỳ khó chịu và mất thẩm mỹ. Đừng bỏ lỡ bộ sưu tập có thể thay đổi cách bạn nhìn về bệnh da liễu này.

Khám phá hình ảnh bệnh nấm da đầu rõ nét dễ nhận biết
Khám phá hình ảnh bệnh nấm da đầu rõ nét dễ nhận biết
Nhận biết nhanh qua các ảnh nấm da đầu thực tế rõ ràng
Nhận biết nhanh qua các ảnh nấm da đầu thực tế rõ ràng
Tổng hợp hình ảnh bệnh nấm da tay và dấu hiệu ban đầu
Tổng hợp hình ảnh bệnh nấm da tay và dấu hiệu ban đầu
Cảnh báo từ hình ảnh bệnh nấm ở nam giới phổ biến hiện nay
Cảnh báo từ hình ảnh bệnh nấm ở nam giới phổ biến hiện nay
Xem ngay hình ảnh bệnh nấm họng để dễ phát hiện sớm
Xem ngay hình ảnh bệnh nấm họng để dễ phát hiện sớm
Tổng quan các hình ảnh bệnh nấm phổ biến dễ bị bỏ qua
Tổng quan các hình ảnh bệnh nấm phổ biến dễ bị bỏ qua
Tìm hiểu triệu chứng qua hình ảnh bệnh nấm tổ đỉa thực tế
Tìm hiểu triệu chứng qua hình ảnh bệnh nấm tổ đỉa thực tế
Phân biệt dễ dàng với hình ảnh bệnh nấm to đỉa thường gặp
Phân biệt dễ dàng với hình ảnh bệnh nấm to đỉa thường gặp
Tổng hợp chi tiết hình ảnh bệnh nấm mèo ở người và vật nuôi
Tổng hợp chi tiết hình ảnh bệnh nấm mèo ở người và vật nuôi
Lưu ý dấu hiệu qua hình ảnh bệnh nấm bìu ở nam giới
Lưu ý dấu hiệu qua hình ảnh bệnh nấm bìu ở nam giới
Xem nhanh các hình ảnh nấm da đầu được chụp từ thực tế
Xem nhanh các hình ảnh nấm da đầu được chụp từ thực tế
Phân biệt tình trạng với các ảnh nấm đầu rõ ràng chi tiết
Phân biệt tình trạng với các ảnh nấm đầu rõ ràng chi tiết
Góc nhìn chân thực từ hình ảnh bị nấm da đầu phổ biến
Góc nhìn chân thực từ hình ảnh bị nấm da đầu phổ biến
Khám phá biểu hiện qua hình ảnh nấm móng tay thường thấy
Khám phá biểu hiện qua hình ảnh nấm móng tay thường thấy
Cảnh báo sớm từ hình ảnh nấm móng tay ở trẻ nhỏ
Cảnh báo sớm từ hình ảnh nấm móng tay ở trẻ nhỏ
Nhận biết triệu chứng qua hình ảnh nấm da tay thực tế
Nhận biết triệu chứng qua hình ảnh nấm da tay thực tế
Tổng hợp hình ảnh nấm móng rõ ràng để dễ phân biệt
Tổng hợp hình ảnh nấm móng rõ ràng để dễ phân biệt
Tìm hiểu qua hình ảnh nấm móng chân ở người lớn và trẻ nhỏ
Tìm hiểu qua hình ảnh nấm móng chân ở người lớn và trẻ nhỏ
Phân tích biểu hiện từ hình ảnh ngón tay bị nấm điển hình
Phân tích biểu hiện từ hình ảnh ngón tay bị nấm điển hình
Hình ảnh nấm da toàn thân gây ngứa và tróc vảy khắp người
Hình ảnh nấm da toàn thân gây ngứa và tróc vảy khắp người
Hình ảnh nấm tóc thể hiện vùng hói loang lổ dễ nhận biết
Hình ảnh nấm tóc thể hiện vùng hói loang lổ dễ nhận biết
Hình ảnh các loại nấm da thường gặp với biểu hiện khác nhau
Hình ảnh các loại nấm da thường gặp với biểu hiện khác nhau
Hình ảnh nấm da chân xuất hiện nhiều ở kẽ ngón và gót chân
Hình ảnh nấm da chân xuất hiện nhiều ở kẽ ngón và gót chân
Hình ảnh bị nấm da thường có vết đỏ tròn ngứa và bong tróc
Hình ảnh bị nấm da thường có vết đỏ tròn ngứa và bong tróc
Hình ảnh ngón tay bị nấm gây khô rát và nứt da quanh móng
Hình ảnh ngón tay bị nấm gây khô rát và nứt da quanh móng
Hình ảnh da đầu bị nấm cho thấy mảng gàu dày và rụng tóc
Hình ảnh da đầu bị nấm cho thấy mảng gàu dày và rụng tóc
Hình ảnh bị nấm đầu dễ gây hói tạm thời và viêm da đầu
Hình ảnh bị nấm đầu dễ gây hói tạm thời và viêm da đầu
Nấm da đầu hình ảnh thường thấy ở trẻ nhỏ và người nhiều mồ hôi
Nấm da đầu hình ảnh thường thấy ở trẻ nhỏ và người nhiều mồ hôi
Ảnh nấm đầu ghi lại rõ vùng da tróc vảy và mất tóc cục bộ
Ảnh nấm đầu ghi lại rõ vùng da tróc vảy và mất tóc cục bộ
Hình ảnh nấm đầu điển hình là mảng đỏ có viền và vảy trắng
Hình ảnh nấm đầu điển hình là mảng đỏ có viền và vảy trắng
Hình ảnh nấm đầu ngón tay thường làm da bong tróc và ngứa kéo dài
Hình ảnh nấm đầu ngón tay thường làm da bong tróc và ngứa kéo dài
Hình ảnh bệnh nấm da tay xuất hiện quanh ngón kèm nứt nẻ khó chịu
Hình ảnh bệnh nấm da tay xuất hiện quanh ngón kèm nứt nẻ khó chịu
Hình ảnh nấm móng tay thể hiện móng đổi màu dày lên và dễ gãy
Hình ảnh nấm móng tay thể hiện móng đổi màu dày lên và dễ gãy

Xem thêm: Cảnh báo sớm qua hình ảnh bệnh gout điển hình

Nhìn nhận chính xác hình ảnh bệnh nấm da là bước quan trọng trong việc phát hiện và điều trị bệnh đúng cách. Nếu bạn nhận thấy da có dấu hiệu bất thường giống với hình ảnh minh họa, hãy thăm khám sớm để có phương pháp xử lý phù hợp.